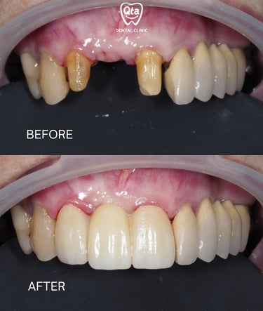
Perawatan Gigi Tiruan (Prostodonti)
perawatan untuk mengganti gigi yang hilang atau rusak berat dengan gigi tiruan yang dirancang menyerupai gigi asli, baik dari segi fungsi, bentuk, maupun estetika, sehingga pasien dapat kembali mengunyah dengan nyaman dan tersenyum percaya diri.
Kapan Perawatan Gigi Tiruan Dibutuhkan?
Kehilangan satu atau beberapa gigi
Gigi rapuh, patah, atau rusak berat
Gangguan mengunyah & bicara
Penurunan estetika senyum
Ingin solusi gigi pengganti yang nyaman & tahan lama
Perawatan Gigi Tiruan
Fungsi kunyah kembali optimal
Bicara lebih jelas
Tampilan gigi natural & estetik
Menjaga struktur rahang & gigi sekitar
Meningkatkan kualitas hidup




Proses Perawatan Prostodonti
Konsultasi & pemeriksaan menyeluruh
Perencanaan perawatan sesuai kebutuhan pasien
Pencetakan gigi & pemilihan bahan
Pemasangan gigi tiruan
Kontrol & penyesuaian lanjutan
Keunggulan Prostodonti di Klinik Gigi QTA :
✅ Ditangani dokter berpengalaman
✅ Material berkualitas & tahan lama
✅ Presisi tinggi & tampilan natural
✅ Nyaman digunakan jangka panjang
✅ Edukasi & kontrol terpantau
Jenis Perawatan Prostodonti di Klinik Gigi QTA
Gigi tiruan yang dapat dilepas dan dipasang kembali, digunakan untuk menggantikan satu atau beberapa gigi yang hilang.
Fungsi :
Menggantikan gigi yang hilang
Membantu fungsi mengunyah dan bicara
Manfaat :
Solusi praktis dan ekonomis
Mudah dibersihkan
Membantu menjaga estetika senyum
Cocok sebagai solusi sementara atau jangka panjang tertentu
Gigi Tiruan Lepasan


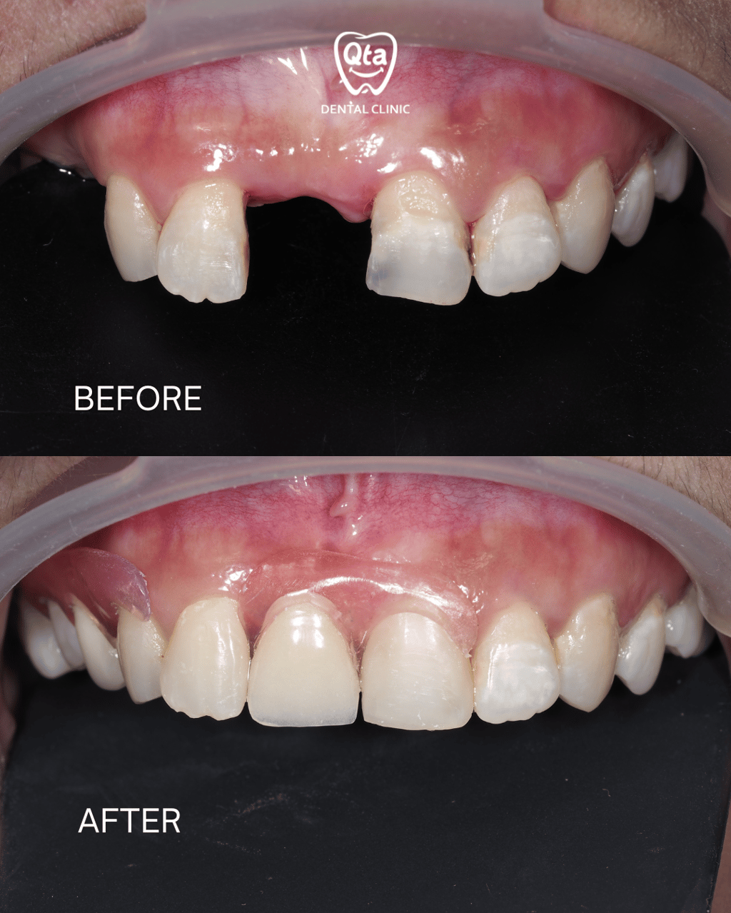
Mahkota gigi buatan yang menutupi seluruh permukaan gigi yang rusak atau rapuh.
Fungsi :
Melindungi gigi yang rusak, retak, atau setelah perawatan saluran akar
Manfaat :
Menguatkan struktur gigi
Mengembalikan bentuk dan fungsi gigi
Tampilan gigi lebih rapi dan alami
Mencegah kerusakan lebih lanjut
Mahkota Gigi (Dental Crown)


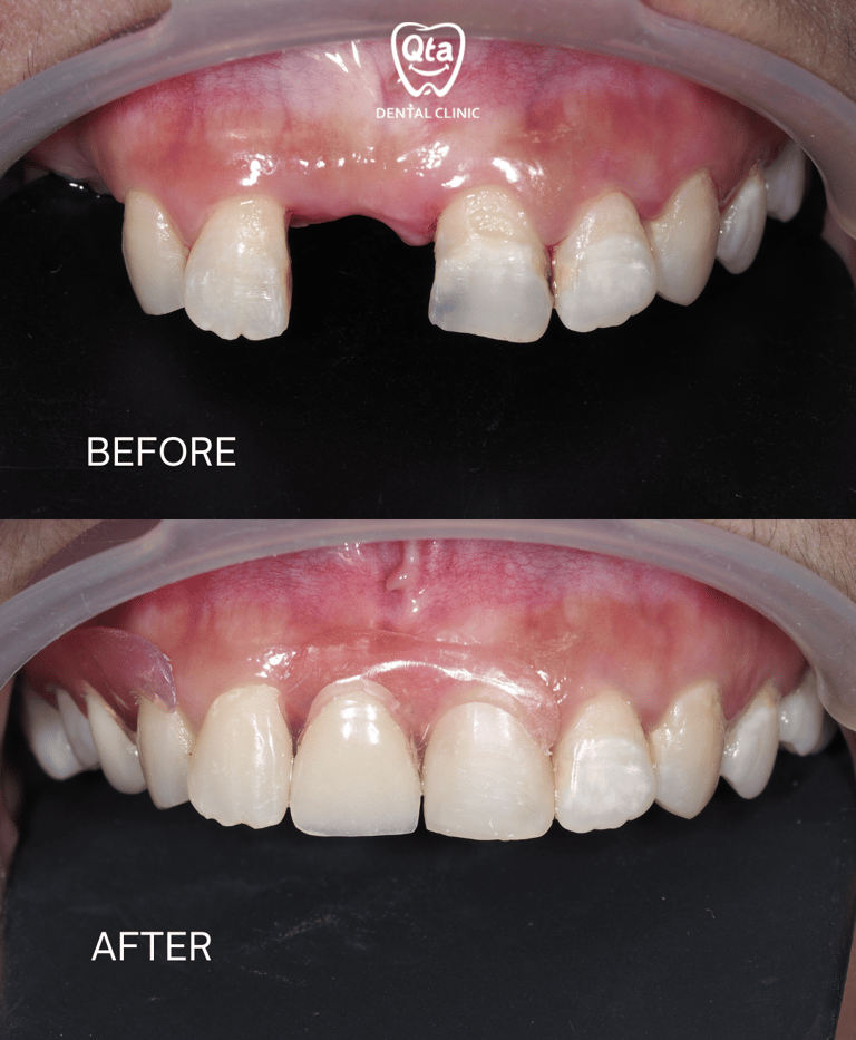
Gigi tiruan permanen untuk mengganti satu atau lebih gigi yang hilang, dengan memanfaatkan gigi di sebelahnya sebagai penyangga.
Fungsi :
Mengisi ruang kosong akibat gigi hilang
Manfaat :
Mengembalikan fungsi mengunyah
Mencegah pergeseran gigi sekitar
Estetika senyum lebih seimbang
Terasa lebih stabil dibanding gigi lepasan


Jembatan Gigi (Dental Bridge)
Akar gigi buatan berbahan khusus yang ditanam ke tulang rahang, kemudian dipasangkan mahkota gigi di atasnya.
Fungsi :
Menggantikan gigi hilang secara permanen dari akar hingga mahkota
Manfaat :
Paling menyerupai gigi asli
Kuat, stabil, dan tahan lama
Tidak merusak gigi sebelah
Membantu menjaga kepadatan tulang rahang
Nyaman untuk mengunyah dan berbicara


Implant Gigi
Kehilangan gigi bukan akhir segalanya
Konsultasikan perawatan Prostodonti Anda di Klinik Gigi QTA untuk solusi gigi pengganti terbaik
Mitra Asuransi Kami




Solusi Gigi Sehat
Tentang Kami
Cabang Qta
Promo
Qta Cabang Nusukan Solo
Gigi Anak
Follow Our Social Media
© 2025 PT Vivo Qta Mulia Rahardjo. All Right Reserved
Perawatan
