Pencegahan (Preventive Dentistry)
Pencegahan dalam kedokteran gigi, atau Preventive Dentistry, adalah praktik merawat gigi dan gusi agar tetap sehat guna menghindari timbulnya lubang gigi (karies), penyakit gusi, serta kerusakan email gigi.
Prinsip utamanya sederhana :
"Mencegah jauh lebih murah, tidak sakit, dan lebih mudah daripada mengobati."




Pemeriksaan rutin dan konsultasi
Pemeriksaan rutin dan konsultasi gigi membantu mendeteksi masalah sejak dini sebelum menjadi lebih serius. Di Klinik Gigi QTA, dokter gigi berpengalaman akan memeriksa kondisi gigi, gusi, dan mulut secara menyeluruh serta memberikan rekomendasi perawatan yang tepat sesuai kebutuhan Anda.
Manfaat pemeriksaan rutin:
Deteksi dini gigi berlubang & penyakit gusi
Mencegah nyeri dan perawatan besar di kemudian hari
Edukasi perawatan gigi yang benar dan personal
Menjaga kesehatan gigi jangka panjang
Disarankan dilakukan setiap 6 bulan sekali.


Fissure Sealant
Fissure Sealant adalah tindakan pencegahan gigi berlubang dengan melapisi celah dan lekukan (fissure) pada permukaan kunyah gigi menggunakan bahan khusus yang aman. Tindakan ini sangat efektif untuk melindungi gigi dari penumpukan sisa makanan dan bakteri, terutama pada gigi geraham anak maupun dewasa.
Manfaat Fissure Sealant :
Mencegah gigi berlubang sejak dini
Melindungi gigi geraham yang memiliki celah dalam
Prosedur cepat, aman, dan tanpa rasa sakit
Membantu menjaga kesehatan gigi jangka panjang
Cocok untuk :
Anak-anak, remaja, dan dewasa yang ingin mencegah gigi berlubang.


Topical aplikasi fluor
Topical Aplikasi Fluor adalah perawatan pencegahan gigi berlubang dengan mengoleskan fluor secara langsung ke permukaan gigi. Fluor membantu memperkuat lapisan email gigi, membuat gigi lebih tahan terhadap serangan asam dan bakteri penyebab gigi berlubang.
Manfaat Topical Aplikasi Fluor:
Memperkuat email gigi
Mencegah dan memperlambat gigi berlubang
Mengurangi sensitivitas gigi
Aman untuk anak-anak dan dewasa
Disarankan dilakukan secara berkala, terutama pada pasien dengan risiko gigi berlubang tinggi.


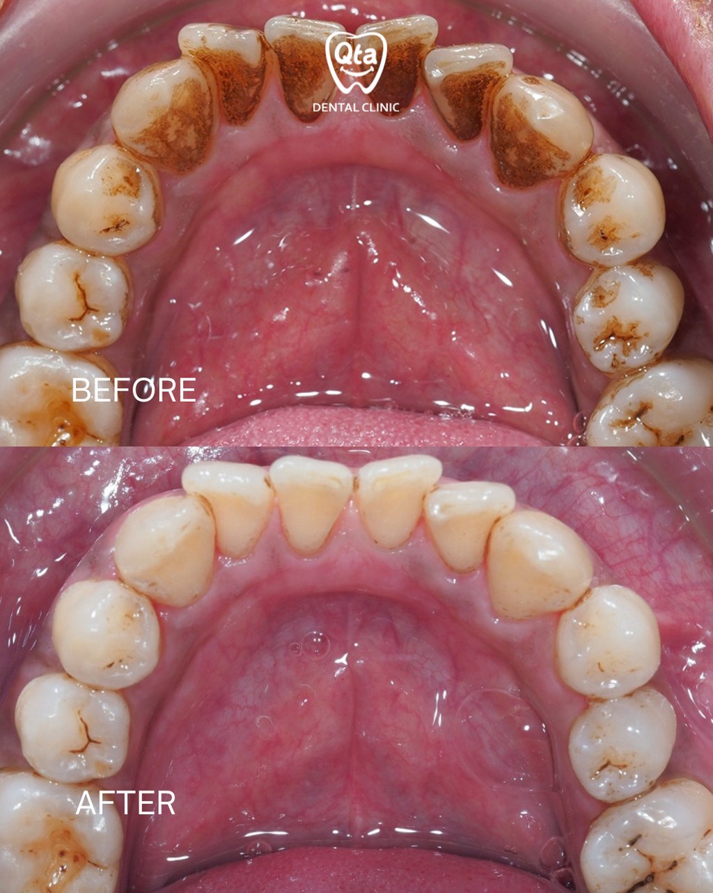
Pembersihan Karang Gigi (Scaling)
Pembersihan Karang Gigi (Scaling) adalah tindakan membersihkan karang gigi dan plak yang menempel di permukaan gigi serta di bawah garis gusi menggunakan alat khusus. Karang gigi yang tidak dibersihkan dapat menyebabkan bau mulut, gusi berdarah, hingga penyakit gusi serius.
Manfaat Scaling :
Menghilangkan karang gigi dan plak
Mencegah radang gusi dan bau mulut
Menjaga kesehatan gigi dan gusi
Membuat gigi terasa lebih bersih dan segar
Disarankan dilakukan setiap 6 bulan sekali sebagai bagian dari perawatan rutin gigi dan mulut.


Mitra Asuransi Kami




Solusi Gigi Sehat
Tentang Kami
Cabang Qta
Promo
Qta Cabang Nusukan Solo
Gigi Anak
Follow Our Social Media
© 2025 PT Vivo Qta Mulia Rahardjo. All Right Reserved
Perawatan
