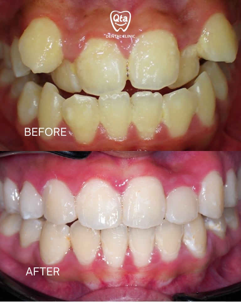
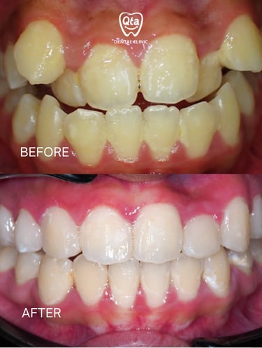
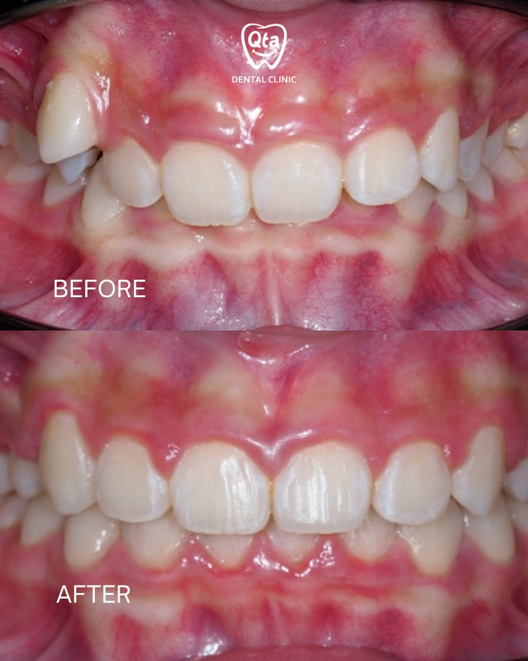
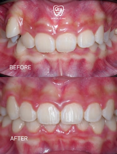
Perawatan Orthodontic (Perapihan Gigi)
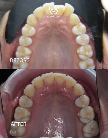
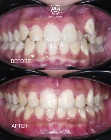
Orthodontic adalah perawatan untuk merapikan susunan gigi dan memperbaiki hubungan rahang, sehingga tidak hanya meningkatkan estetika senyum, tetapi juga fungsi kunyah, bicara, dan kesehatan gigi jangka panjang.
Perawatan orthodontic di Klinik Gigi QTA ditangani oleh dokter gigi berpengalaman & dokter spesialis ortodonti, menggunakan teknologi modern Ai dan perencanaan yang presisi sesuai kebutuhan setiap pasien.
Masalah yang Ditangani Orthodontic
Gigi berjejal atau tidak rata
Gigi maju (tonggos)
Gigi renggang
Gigitan tidak normal (open bite, cross bite, deep bite)
Gangguan fungsi kunyah & estetika


Jenis Perawatan Orthodontic


Jenis Kawat Gigi Konvensional


Jenis Kawat Gigi Self-ligating




Jenis Clear aligner
LM-Activator
Proses Perawatan Orthodontic
Konsultasi & analisa senyum
Foto rontgen & pencetakan gigi
Perencanaan perawatan
Pemasangan alat orthodontic
Kontrol rutin & monitoring progres
Manfaat Orthodontic
Gigi rapi & senyum lebih percaya diri
Fungsi kunyah & bicara lebih optimal
Kebersihan gigi lebih mudah dijaga
Investasi kesehatan gigi jangka panjang








Keunggulan Orthodontic di Klinik Gigi QTA
✅Ditangani dokter berpengalaman & spesialis
✅ Teknologi modern berbasis Ai & perawatan presisi
✅ Edukasi pasien yang jelas & transparan
✅ Nyaman, aman, dan terkontrol
✅ Cocok untuk remaja hingga dewasa




Pasang kawat gigi bisa lebih tenang dan terencana


Di Klinik Gigi QTA, perawatan dilakukan dengan perencanaan berbasis AI
dan tetap di bawah pengawasan dokter spesialis orthodontic
Berlaku di Klinik Gigi Qta
Di QTA Orthodontic & Dental Care, perawatan kawat gigi dilakukan langsung oleh dokter spesialis orthodontic, jadi bukan cuma rapi, tapi juga aman dan terencana.
Enjoy 20% OFF


Berlaku di Qta Orthodontic & Dental Care (Bali)
Mitra Asuransi Kami




Solusi Gigi Sehat
Tentang Kami
Cabang Qta
Promo
Qta Cabang Nusukan Solo
Gigi Anak
Follow Our Social Media
© 2025 PT Vivo Qta Mulia Rahardjo. All Right Reserved
Perawatan
